החיוך שלך
זו ההצלחה שלנו

המרכז לרפואת שיניים ואסתטיקה רפואית Miracle Touch Clinic

כל הטיפולים והפתרונות המובילים ברפואת השיניים במקום אחד

בניהול מקצועי ובהובלת ד"ר ג'בר יזיד

חיוך יפה

לרגל פתיחת סניף המרפאה החדש בעפולה בדיקת אבחון מקיפה, צילום פריאפיקלי
(עד 2 צילומים) וייעוץ ללא עלות וללא התחייבות
לפרטים ולתיאום ביקור:

מרפאת Miracle Touch Clinic בעפולה מאובזרת במיטב המכשירים והטכנולוגיות הרפואיות, חומרי טיפול איכותיים

כלל הטיפולים מבוצעים תחת קפדנותו המקצועית ללא פשרות- של ד"ר ג'בר יזיד, רופא שיניים וכירורג פה ולסת ובעל ניסיון רב שנים, הכשרה ועדכנות מקצועית במיטב ההשתלמויות המקצועיות בחו"ל ובישראל.

שירותי המרפאה

במרפאה ניתנים מגוון רחב של שירותים וסוגי טיפולים, בהתאמה מלאה לצרכי המטופלים,

בשילוב בין טיפולים רפואיים, לתפקוד מיטבי ולשמירה על בריאות הפה והשיניים

לטיפולים אסתטיים – למראה בריא, צעיר ומרשים

ולחיוך מושלם!

בלי הבטחות, בלי קיצורי דרך, בלי מניפולציות שיווקיות

תכנית טיפול בהתאמה אישית

על פי מצב השיניים, אנטומיית הפה והלסת,

ופוטנציאל ההצלחה והעמידות של סוגי הטיפולים האפשריים

אבחון מוקדם וייעוץ להצגת כלל האפשרויות, החלופות והמשמעויות

לבחירת המטופלים

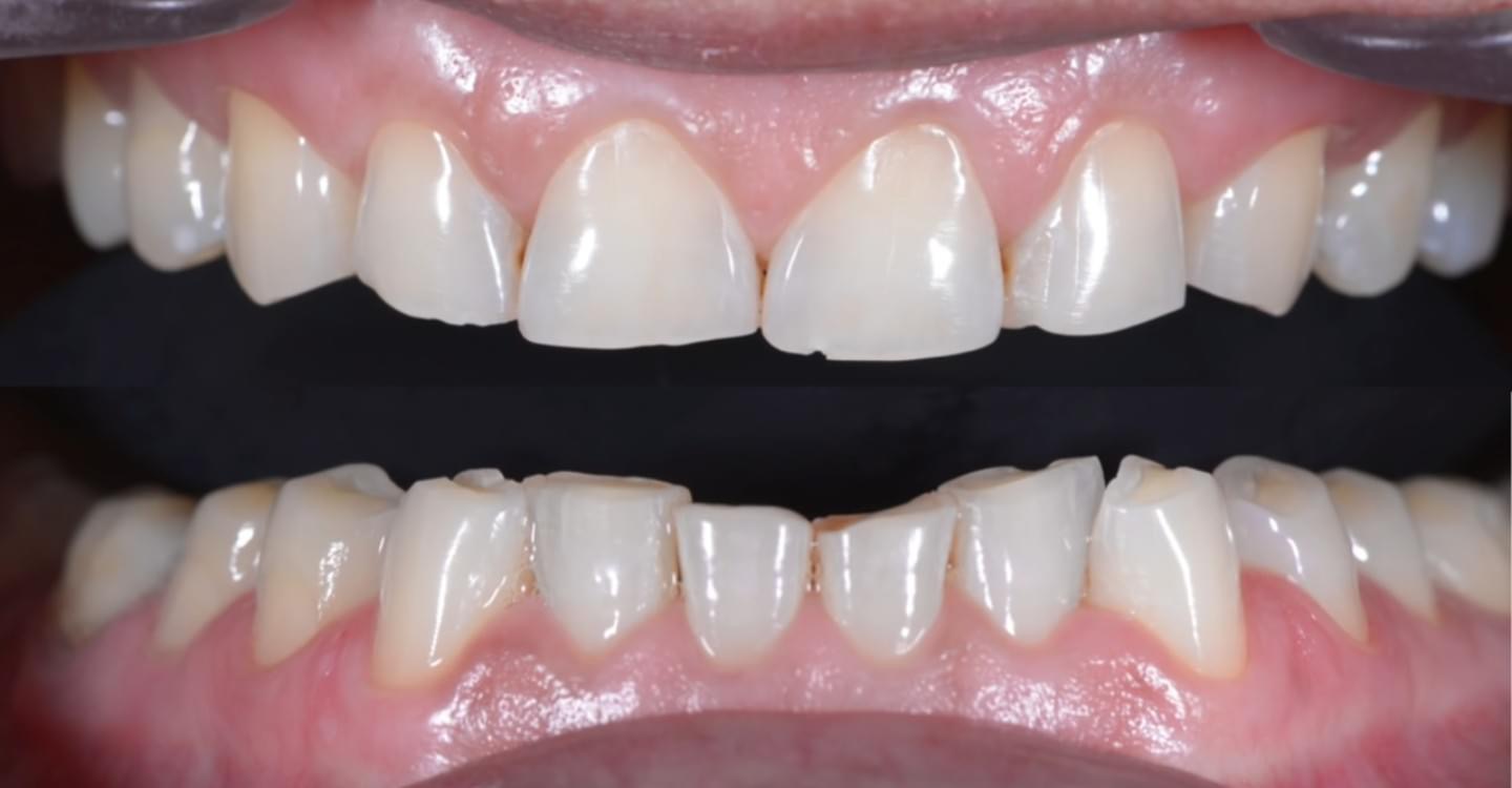
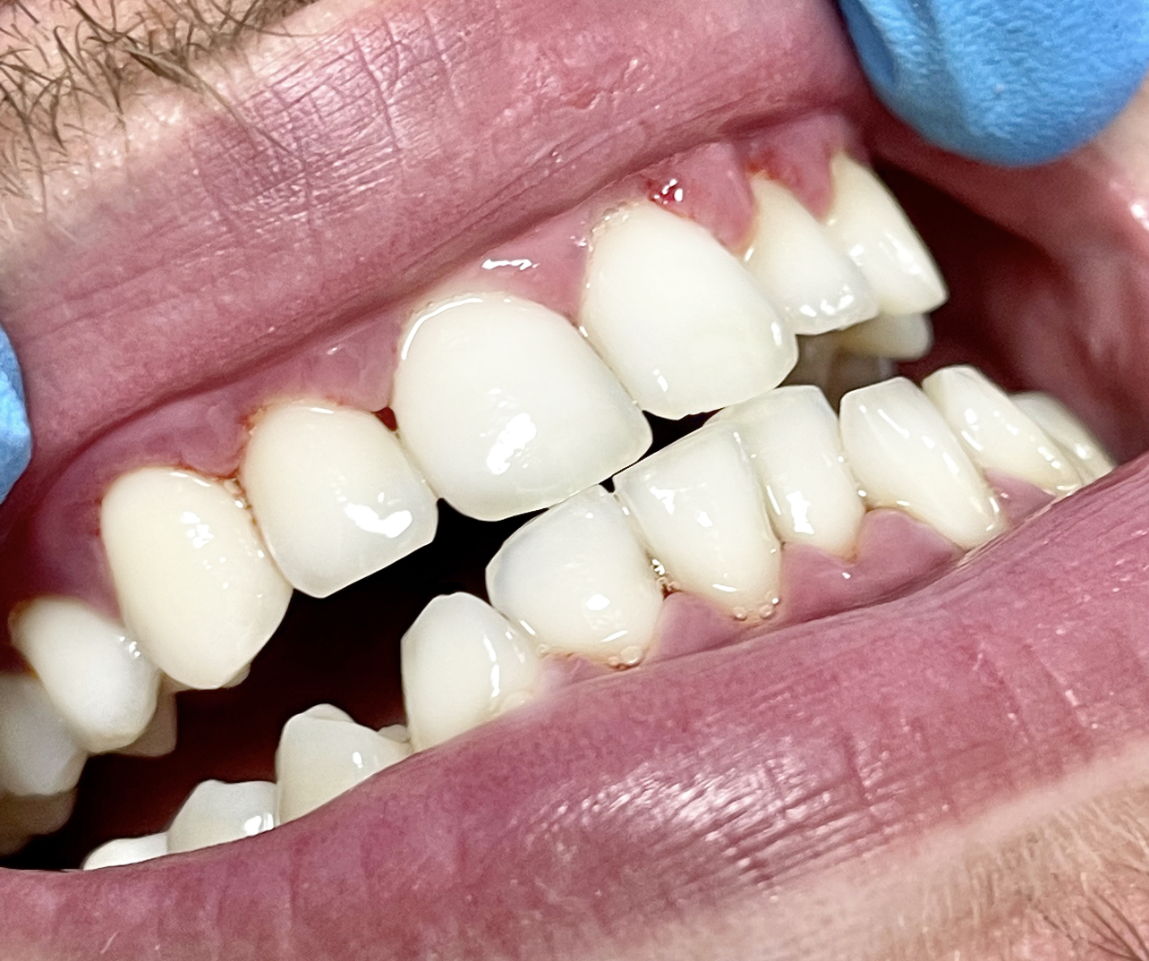
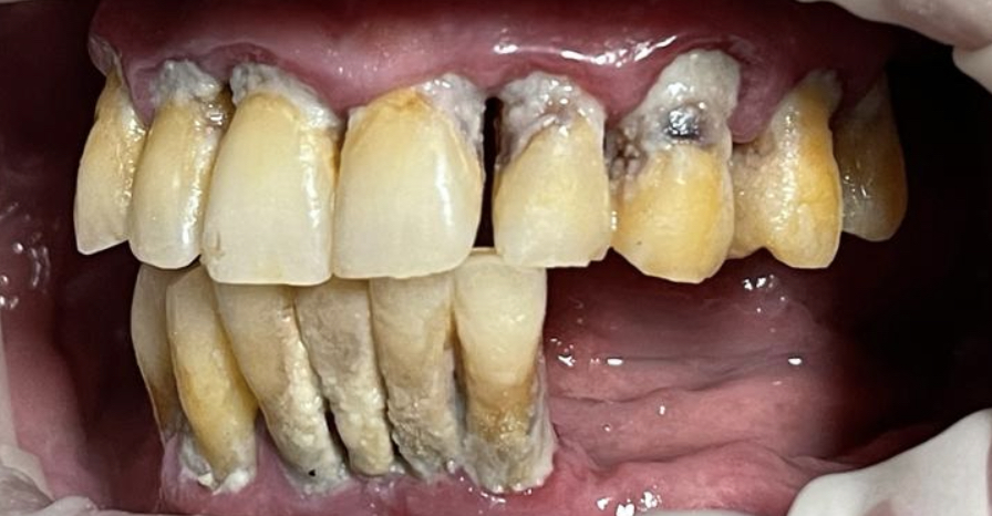
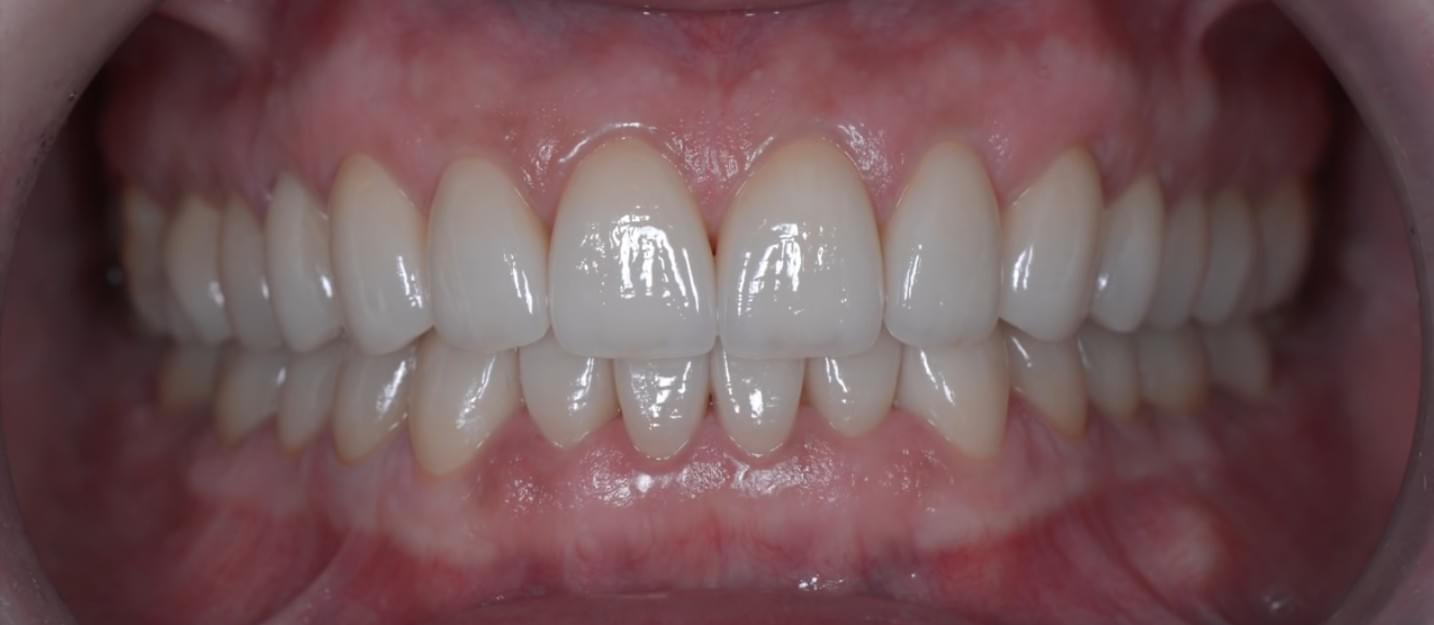
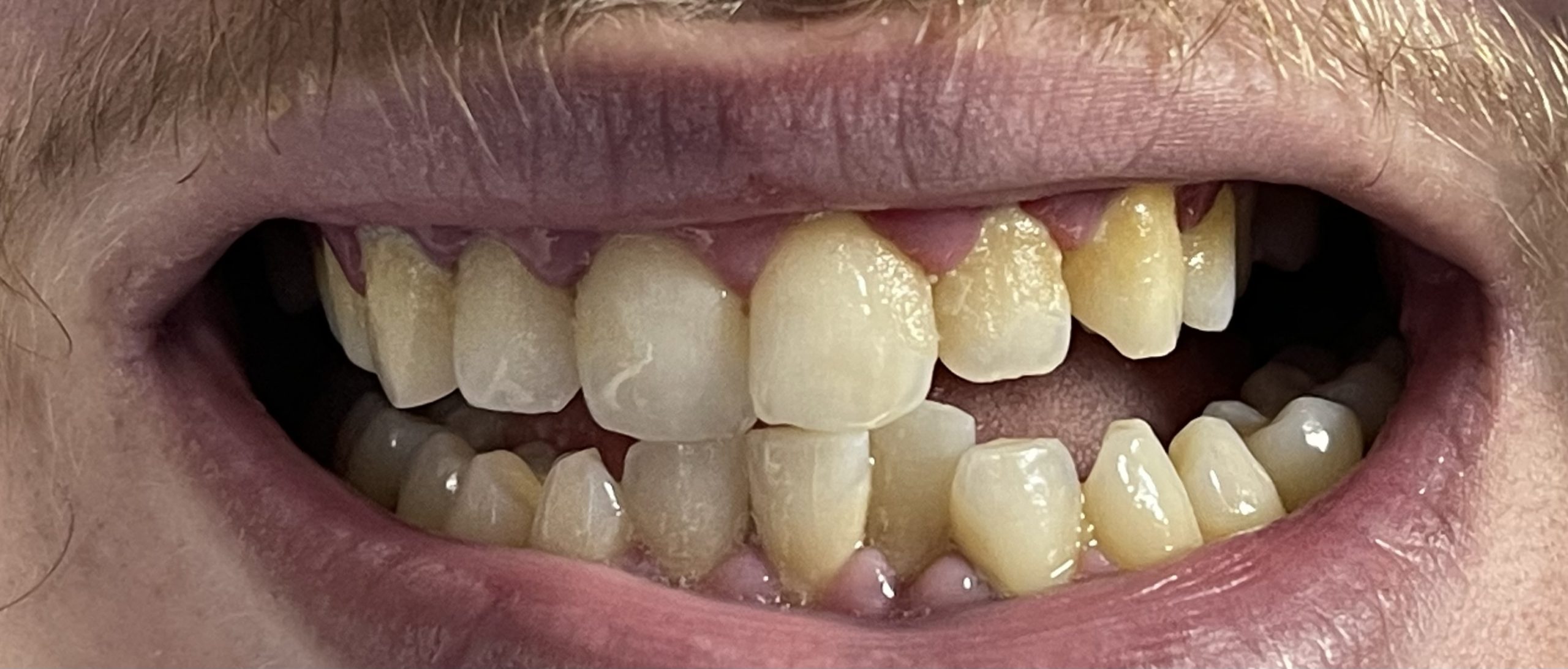
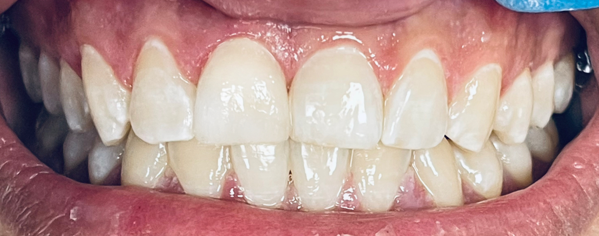
תמונות לפני ואחרי

שיניים לפני שיניים אחרי
שיניים לפני שיניים אחרי
שיניים לפני שיניים אחרי
שיניים לפני שיניים אחרי
שיניים אחרי שיניים אחרי
לפני ואחרי

כל סיבה טובה לחייך מתחילה אצלנו

בין סוגי הטיפולים המתבצעים במרפאה:

כירורגיית פה ולסת:

רפואת שיניים אסתטית:

טיפולי שיניים משמרים ומשקמים:

מוניטין מקצועי

ד"ר ג'בר מוכר במרכז ובצפון כרופא שיניים מקצועי הפועל באחריות ובשקיפות, ורואה אל מול עיניו את טובת המטופלים בראש ובראשונה.

בין סיפורי ההצלחה וההמלצות החמות על השירות והטיפול, בולטות במיוחד המלצותיהם של מטופלים אשר הגיעו אליו לאחר השתלות שיניים מהירות ויקרות, אשר כשלו ולא עמדו במבחן הזמן והתוצאה.

באמצעות אבחון מקצועי ומקיף והקפדה על שיקום תהליכי בשיטות טיפול מוכרות, הקדשת זמן ומקצועיות, סייע ד"ר ג'בר לעשרות מטופלים מאוכזבים- להגיע לתוצאה הרצויה ולחייך בביטחון סוף סוף.

• ניסיון עשיר ומוניטין של הצלחות בטיפולי שיניים מורכבים

• זמינות, שעות פעילות גמישות ומתן מענה מחוץ לשעות הפעילות במקרה חירום

• טיפול לכלל המגזרים והאוכלוסיות: מענה לדוברי רוסית, ערבית, אנגלית, רומנית ועברית.

• שירות מעולה ומקצועי במחירים הוגנים

דילוג לתוכן